2008年5月アーカイブ
、、、、、、冗談です、、、、、、。
本名は、中山雅晴(なかやままさはる)と言います。
アメリカ軍が未だ沖縄を占領していた頃、沖縄県の石垣島で生まれました。
満で二歳の時、一家で東京に引っ越して来ました。
本日は、石垣島のお話をいたします。
中山センセは二歳までしか石垣島に居なかったのですが、いくつか思い出があります。
さすがですね!ふっふっふ。
石垣小学校の角に、昔風の赤いポストのある小さなお店がありましたが、
そこはセンセの母方の祖母のお家です。
昔ながらの赤い瓦ぶきの屋根のうちです。
そこから海に向かって坂になっていますが、坂をくだって程ない左手に生家があったそうです。
中山センセは、その坂のことをはっきりと覚えています。でも覚えていることはこれを含めて2~3きり。
やっぱりたいしたことありませんね。
ぶふふふふ、、、、。
以下の描写は小学校2年生の夏休みに旅行で帰った時の記憶です。
今では石垣市の道もすっかり舗装され、信号機などもあるようですが、
当時の道は真っ白な珊瑚礁をくだいて敷いてあるだけのものでした。
道の表のあちこちには、馬糞や牛糞がごろごろしていて、これらを踏まないようにして歩くのが大変でした。
当時はまだ馬や牛が仕事でも重要視されていたわけさ(沖縄ふうに発音する)。
夜になると、体中毛だらけの大きなやどかりが、これらに群がって餌にしておりました。
因みに、この当時の牛とは「水牛」のことです。
当時の家々はみな古い石垣で囲われ、家の周囲は福木(ふくぎ)の深い緑でうっそうと
覆われていました。
なによりもまず当時と今と大きく異なる点は、
臭いです。
当時の町を歩くと、亜熱帯のしめった空気の中に、なにか独特の生活の臭いがあって
それが子供心にも大変心地よく、石垣の町を思い出すときにはいつもその臭いも同時に感じておりました。
ところが数年前に帰った時には、まあ道が舗装されたり信号機があったりするのは
時代の流れですから致し方のないことですが、
肝腎のあの臭いが無い!無味無臭!!
センセ、ムシュウに悲しかった、、、。
センセが石垣島に居たのは、満で2歳まででした。
でも、いくつかの思い出があります。
ある時、センセは生家でお昼寝をしておりました。
ふとオシッコがしたくなって、お便所に行きました。
しかし、お便所の戸を開けると、中から白い幽霊が何人も現れました。
センセはびっくりして、ちびっ子ギャングのアルファルファの様に髪の毛を逆立て、
慌てて廊下から庭に逃げようとして靴を履こうとするのですが、
黄色のチョウチョがついた青いゴムの靴がなかなかうまく履けず、
あせるばかり!
ようやく履いて庭に逃げると、センセのお母さんが庭で洗濯をしておりました。
木のたらいと洗濯板を使って、せっせと洗濯をしておりました。
それを見て、センセはとっても安心して、幽霊のことは忘れてしまいました。
・・・たぶん、夢を見ていたのでしょうね。でも、黄色のチョウチョがついた青いゴムの靴の思い出は、
今でも鮮明に覚えています。
また、この頃着ていたお気に入りの、黒地の和服のこともはっきりと覚えています。
上の夢の物語は、なんか、坪田譲治の童話の一節の様で、センセのお気に入りの思い出です。
もう一つ、石垣島時代の思い出があります。
センセが東京に来たときは、センセが2歳の時でした。
家族で東京に出る前、最後の思い出とばかりに、一家そろってハイヤーを借り、石垣島を一周しました。
そのときのことをセンセはようく覚えています。
風が猛烈に強い日で、あの当時の道は舗装などされていないものですから砂埃が舞い上がり、時々目の中にも砂が進入してきました。
センセは子供心に、
「何でこんな砂埃の強い日に観光旅行なんかしなくてはならないのだ!全く大人は常識に欠けているなあ!」
と憤っていたことを、大変鮮明に覚えています。
後々、家族兄弟にこのことを話すと、
「それは写真があるからそれで覚えているつもりになってるだけさ。」
と言われるのですが、
残念ながら、さすがの写真も、風まで撮すことは出来ません。
喜源テクノさかき研究室は食用微生物の研究をしておりますが、
これまでの研究成果を商品として世に送るだけでなく、
特許をとったり、あるいは学会発表や論文報告というかたちで
世界に向けて発信してゆこう、と考えております。
今回はそのうちの一つ、大豆麹乳酸菌発酵液のお話を致します。
大豆麹乳酸菌発酵液は当研究室が開発した健康食品素材で、
平成19年3月20日に特許願を提出しました(特願2007-073113)。
それでは大豆麹乳酸菌発酵液の作り方を、順を追ってご説明いたします。
1.有機無農薬栽培で収穫された大豆を丸ごと用い、まず液体大豆麹を作ります。
喜源テクノさかき研究室が所属する喜源グループは長野の山の上に自社の大豆畑を所有しており、そこで毎年大豆を収穫しております。もちろん有機無農薬栽培ですので、ご安心を。
この大豆を皮付きのまま丸ごと粉砕して
粉にします。
これに水を加え、高圧加熱滅菌した後、麹菌(こうじきん)を接種します。
麹菌は、味噌や醤油、あるいはお酒などを
造るときに無くてはならない役割をする「カビ」の一種で、強力な酵素を出してタンパク質はアミノ酸に、デンプンはブドウ糖にまで分解してくれます。
麹菌を接種した大豆粉水溶液は、大型の振蕩(しんとう)培養装置で
2週間以上培養します。培養を終了した培養液のことを、液体大豆麹と称します。
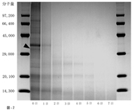
この過程で大豆タンパクは殆どアミノ酸まで分解されます(下のグラフ)。
さらに、大豆のアレルゲン(アレルギーのもととなる物質)
も分解されて消失してしまいます(白黒写真)。
さらにこの過程で大量の抗酸化物質や抗変異原物質が生産され、
液体大豆麹の中に蓄積して行きます。
抗酸化物質とは、万病の元となる活性酸素を消去してくれる物質のことで、
代表的なものにはビタミンCやビタミンEがあります。
抗変異原物質とは、ガンの原因となる物質(変異原物質)に対抗してくれる
物質のことです。
2.液体大豆麹に黒糖、米糠エキス、カルシウムを加え、乳酸菌用の培地をつくります。
このように、液体大豆麹は、そのままでも非常に身体に良い素材です。
この液体大豆麹に、さらに黒糖と米糠エキス、そしてカルシウムを加えて
加熱滅菌し、乳酸菌用の培地を作ります。
この時用いる黒糖は、奄美大島で無農薬有機栽培によって育ったさとうきびから
得られるものです。
黒糖は白いお砂糖とは異なり、ビタミンやミネラルの含有量が高く、中でもカリウムが豊富です。
カリウムを豊富に含む食材として有名なのはバナナですが、
黒糖のカリウムはバナナの3倍もあります。
なぜカリウムのお話をしているかというと、カリウムが身体に良いからです。
ではなぜカリウムは身体に良いのか。
カリウムは、ナトリウムに対して拮抗的(きっこうてき)に働き、両者のバランスで細胞の働きが成り立っています。
このバランスが悪くなると、身体に悪い影響を与えます。
現在世界中で日本食が「ヘルシーな食べ物」としてもてはやされていますが、
実は日本食にはただ一つ欠点があります。
それは、食塩を多く使うため、ナトリウムの含有量が高いと言うことです。
食事から得られるナトリウム分が過剰になると高血圧を誘発し、これが動脈硬化の引き金となり、
最終的に脳や心臓に、時には致命的な結果をもたらします。
このようなナトリウムは腎臓から排出されますが、このとき同時にカリウムが必要です。
そうです!賢明なる皆さんはもうお分かりかと思いますが、食事中のカリウム量を増やすことによって、
身体の過剰なナトリウムを適度なレベルまで排泄することが可能となるのです。
現在の日本人の食事には、あまりにもナトリウムが多すぎます。
縄文時代の人々は、現在の10倍以上のカリウムを食事から摂っていたと考える学者もいます。
乳酸菌用の培地に黒糖を用いることによって、大豆麹乳酸菌発酵液のカリウム含量は高くなり、
乳酸菌の発育に優れる培地となっただけでなく、我々の健康にも良い培地組成となりました。
3.乳酸菌用の培地に乳酸菌と酵母を接種して培養し、大豆麹乳酸菌発酵液が出来上がる!
このようにして出来上がった培地に、乳酸菌と酵母を接種し、培養します。
大豆麹乳酸菌発酵液に使用する乳酸菌は、全部で5種類。
これらの乳酸菌は全て、日本全国の漬け物からテクノさかき研究室が分離、同定したものです。
テクノさかき研究室が漬け物などから分離した菌は、200株以上に昇ります。
そのうち乳酸菌であると同定できたものがおよそ120株ぐらい。
これらの中から様々な選択試験を行って、成績が優秀な株を5つ選びました。
どのような試験を行ってどのような乳酸菌を選んだのかは、次回にお話しいたします。
5株の乳酸菌のうち、それぞれ1種類ずつを酵母菌とペアで乳酸菌用の培地に接種し、
孵卵器で4日間培養します。
培養終了後、5つの培養液を混ぜ合わせ、最後の加熱滅菌を行って、
ようやく大豆麹乳酸菌発酵液が完成します。
乳酸菌と酵母菌をペアで接種する方法を、混合培養、あるいは共生培養と言います。
一般的に乳酸菌と酵母菌は相性が良く、自然界においても、この両者が相伴って
分離されるケースが多いと言われています。
最終的に皆さんのお口に入る製品の形になるにはさらなる工程が必要となりますが、
原液としての大豆麹乳酸菌発酵液は、以上のような過程を経て作られます。
食用微生物のお話をいたします。
食用微生物とは、読んで字の如く、食べられる微生物のことです。
まず、料理法をご説明します。
あらかじめさっと湯通しした乳酸菌を、カップ一杯のだし汁に漬けます。
これに塩こしょうして、先に炒めた酵母菌を小さじ一杯加え、
ねばりがでるまでこねます。
これに千切りにした麹菌を加え、油で炒めます。
この時、炒めすぎないことがこつです。
炒め終わったら、お皿に盛って完成です。
季節のお野菜などを添えても彩りが良く、お客様にも喜ばれます。
と、言うのが「食用微生物」ではありませんのでご注意下さい!
食用微生物のお話です。
食用微生物とは、味噌や醤油、お酒や漬け物、ヨーグルトなどを
作るときに欠かせない役割を果たす微生物のことです。
常識ですよね!
喜源テクノさかき研究室で扱っている食用微生物は、
大きく分けて麹菌、酵母菌、乳酸菌の3種類です。
それぞれ分かりやすく言うと、麹菌はカビの仲間、
酵母菌はパン作りでおなじみのイースト菌のこと、
乳酸菌は、ヨーグルトでおなじみの菌です。
ここではまず、麹菌のお話を致しましょう。
麹菌はカビの仲間です。さっき言ったばかりですよね。
でももっと言わせて下さい。
麹菌はカビなんだあ~なんだあ~なんだあ~~~~!
、、、、、、、、だからどうしたって?
だって皆さんは、カビ、嫌いでしょう?
じゃ、なんでカビが食用になるのか、疑問に思いませんか?
そうです!細菌にも善玉菌と悪玉菌が居るように、
カビにも善玉カビと悪玉カビが居るのです。
悪玉カビの代表には、アフラトキシンと言う猛毒を生産するヤツが居ます。
アフラトキシンは非常に強力な発ガン物質で、特に肝臓ガンの原因となります。
そしてこの毒を生産する悪玉カビは、南京豆、、、、おっとっと、
落花生、すなわちピーナッツなどに生えたりします。
南京豆という言葉、死語でしょうかね?
因みにこの前、薬局に行って、
「天花粉ください。」
と言ったら、
「はあ?」
と言われましただ、、、。
死語、気をつけます。、、、プっ!
でも普通の落花生、特に日本の農家が作る落花生は大丈夫!
けれども外国製の落花生やコーン、ナツメグなどには今でも
ときどき検出されることがあるので、ご注意を!
善玉カビの一方の雄には、抗生物質を作ってくれる
ペニシリンカビなどが居ります。
そして食品分野での代表選手が、麹菌です。
麹菌の最大の特徴は、その強力な酵素の力にあります。
例えば、蒸したお米に麹菌を接種すると、お米のデンプンを
消化してくれる酵素を大量に生産します。
蒸したお芋に加えるとお芋のデンプンを消化し、
蒸した麦に加えると麦のデンプンを消化し、
蒸したそばに加えると、そばのデンプンを消化し、
これらのデンプンを糖に分解します。
麹菌が繁殖したお米や麦やお芋などのことを、
麹と言いますが、これらの麹に水を加え、酵母菌を接種して培養します。
一晩ぐらいすると、ぼこぼこぼこぼこと、大量の泡ぼこが発生し始めます。
これは、酵母菌が二酸化炭素を放出するためです。
その後には、なにやら甘~い香りが、、、。
そうです。酵母菌が、糖からアルコール(エタノール)を
作ってくれたのです。ごっくん。
先ほどからどういう訳か、お米だのお芋だの麦だのそばだのを
例に取ってきましたが、こういう風にして
麹によってでんぷんを糖に分解し、生じた糖を酵母がアルコールに変換し、
そしてこれを蒸留すれば、
皆さんも好き、私も大好きな、焼酎の出来上がりです。
因みに、沖縄の代表的な焼酎である泡盛。
これを名前から連想して粟(あわ)から作られると
考えているヒトがときどきおられますが、もちろん間違いです。
泡盛の原料はお米ですので、お間違えの無いよう。
麹菌を蒸した大豆に接種すると、麹菌は、大豆タンパクを
分解する酵素を大量に生産するようになります。
この、麹菌による大豆タンパクの分解作用を利用して、
味噌と醤油が作られます。
味噌の場合、麹菌が大豆タンパクを分解する過程で、
味噌の抗酸化能が非常に強くなっていきます。
抗酸化能とは、身体に悪い影響を与える活性酸素に対抗する力のことで、
味噌の中でも殆ど100%大豆だけで作られる名古屋の赤味噌系の
お味噌などは、この抗酸化能が非常に強いと言われています。
強い放射線を浴びたときなどにも身体の中に大量の活性酸素が生じ、
さまざまな疾病を引き起こします。
昔、広島長崎に原爆が投下されたとき、日頃から味噌汁を飲んでいる家族では
被爆の後遺症が少ない、と言ううわさがたったことがあるそうで、
これを元にして、広島大学の先生達が味噌と放射線被害との関係の研究を始め、
その結果、味噌の機能性がだんだん分かってきました。
以前にチェルノブイリ原発の爆発事故がありましたが、
その時に、当時のソ連政府のお役人たちが、事件現場周辺の住民たちに
味噌をくばって歩いたそうだ、と言う話を聞いたことがあります。
本当に味噌がヒトの放射線被害に効果があるかどうかは
人体実験をする訳にはいきませんから分かりませんが、
試験管レベル、あるいは実験動物のレベルでは、すでに明白な結果が出ています。
また同時に、チェルノブイリでのソ連の行動は、広島長崎での出来事に関して、
うわさのレベルにおいてまでも、当時彼らが徹底して原爆に関する情報を集めていた
と言う事実を裏付けるものとしても、とても興味深いお話です。
喜源テクノさかき研究室は、長野県埴科郡(はにしなぐん)
坂城町(さかきまち)という、
小さな山あいの町にあります。
地図で調べると、真田幸村や
猿飛佐助で名高い上田市から
千曲川沿いに国道18号を
北にさかのぼり、千曲川に最も
山が迫る狭い箇所を抜けると、
小さな盆地が急に広がります。
そこが坂城町です。
東京方面から車で来るには、長野自動車道から坂城インターで降りて下さい。
インターから一直線に下りの坂道が続きますが、途中の右手にそびえ立つ青い看板、
その名もKIGEN BIO-LABORATORYが、当研究所の印です。
小さな研究所ですが、駐車場は広い!だだっ広い駐車場に、当研究室室長の愛車であるじみ~な車、
スズキX-90(殆ど廃車状態)がただ一台、
車の本分を忘れたかの如くに、
不動の姿勢で毎日ぽつねんと鎮座おわします。
冬を除いて一年中花が絶えることがありません。特に室長は労をいとわず、
時間を見つけては花卉栽培にいそしんでいます。
ほとんど「はなさかじじい」の世界。
その割に、よく枯らしてしまいますが、、、、。
坂城の町自体も「花一杯運動」みたいなカンジで、
空いた空間を利用してバラの苗木を植えているようです。
近くを流れる川沿いには桜並木が広がり、
春の花見の季節は誠に見事な光景を作り出します。
信州の春は多くの花がいっぺんに咲く季節。
ソメイヨシノだけでなく、ハナモモも同時に満開となり、
うすいピンクのソメイヨシノに混じって、
濃い紅色のハナモモの花がコントラストを描き出します。